Can Cat Scans Detect Breast Cancer : Cureus Hematoma Mimicking Breast Cancer On Ct Scan And Breast Ultrasound / Are they as reliable in detecting breast cancer as a regular mammogram?
Dapatkan link
Facebook
X
Pinterest
Email
Aplikasi Lainnya
Can Cat Scans Detect Breast Cancer : Cureus Hematoma Mimicking Breast Cancer On Ct Scan And Breast Ultrasound / Are they as reliable in detecting breast cancer as a regular mammogram?. The specialized cone beam breast ct (cbbct) scanner, developed by boone and colleagues, uses the same amount of radiation as a conventional mammogram. If the cancer is thought to have spread, doctors can use imaging tests (tests that create pictures of the inside of the body) to help find out if or where a cancer has spread. Identify the correct area for. But whatever gift cats and dogs have that allows them to detect health conditions in their owners sure has been saving a lot of lives. It can damage the dna in your cells and raise the chance that they'll turn cancerous.
Mammograms take advantage of the fact. Did lucy's cat detect cancer? Are you preparing to have this procedure soon? How do ct scans work? A pet scan will help detect cancer and show how far it has spread.
Ct Scan Wikipedia from upload.wikimedia.org A pelvic ct scan can be used to detect several types of cancer. For breast cancer, these can include computed tomography (ct or cat) scans and positron emission tomography (pet) scans, this technology offers advanced motion management capabilities and may detect lesions as small as 2.8 millimeters, as well as bone scans to find out if the cancer has spread to the bone, identifying abnormal activity and the. The specialized cone beam breast ct (cbbct) scanner, developed by boone and colleagues, uses the same amount of radiation as a conventional mammogram. Identify the correct area for. If the cancer is thought to have spread, doctors can use imaging tests (tests that create pictures of the inside of the body) to help find out if or where a cancer has spread. Should you get a ct scan to detect possible tumors? Are they as reliable in detecting breast cancer as a regular mammogram? For breast cancer, these can include computed tomography (ct or cat) scans and positron emission tomography (pet) scans , as well as bone scans to find out if the cancer.
After spending a day at the sydney breast clinic, her worst fears were confirmed.
I freaking out today though because i have a hard area in my left breast. Ct scan (computerized tomography) of the chest, abdomen, and pelvis; Cat detects owner's breast cancer before doctors, saving her life call it a sixth sense, a special connection, or just plain mystery. Ct scans can detect bone and joint problems, like complex bone fractures and tumors. A pet/ct scan is a newer technology used to create images of the body's cells as they work. A pet scan will help detect cancer and show how far it has spread. Ct scans can show a tumor's shape, size, and location. Doctors often use ct scans to help them guide a needle to remove a small piece of tissue. After spending a day at the sydney breast clinic, her worst fears were confirmed. A ct scan can be wrong: With cancer cells, they appear as bright spots due to its higher metabolic rate compared to normal cells. For breast cancer, these can include computed tomography (ct or cat) scans and positron emission tomography (pet) scans, this technology offers advanced motion management capabilities and may detect lesions as small as 2.8 millimeters, as well as bone scans to find out if the cancer has spread to the bone, identifying abnormal activity and the. The answer is yes, and american health imaging can help.
A pet scan will help detect cancer and show how far it has spread. Ct scans can produce false negatives and false positives. In some instances, cancers may not show on the scan. Ultrasound may also be used to locate the position of a tumor in order to guide the doctor during a biopsy or aspiration procedure. After spending a day at the sydney breast clinic, her worst fears were confirmed.
Breast Cancer Staging Physiology Trumps Anatomy from www.sbi-online.org The study was published online on march 21, 2016 by the journal of clinical oncology. But whatever gift cats and dogs have that allows them to detect health conditions in their owners sure has been saving a lot of lives. Cat detects owner's breast cancer before doctors, saving her life call it a sixth sense, a special connection, or just plain mystery. Should you get a ct scan to detect possible tumors? Ct scans can show a tumor's shape, size, and location. With cancer cells, they appear as bright spots due to its higher metabolic rate compared to normal cells. Imaging tests usually can't tell if a change has been caused by cancer. Did lucy's cat detect cancer?
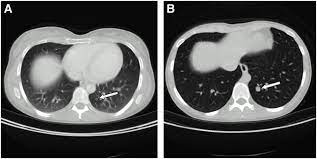
Results from a recent retrospective study conducted by memorial sloan kettering cancer center investigators suggest that pet/ct scanning might offer the most efficient and effective detection of newly diagnosed breast cancer that has spread to the bone.
Ultrasound may also be used to locate the position of a tumor in order to guide the doctor during a biopsy or aspiration procedure. Sandy,i asked my onc.he says ct's can pick up breast cancer depending part on location.i guess it's like real estate,location,location,location,lol.but seriously theradiologist who read my lung ct in november wrote in his report specifically there was no evidence of breast cancer.i guess due to them watching a lymph gland for 2 years on my rt breast.it was fine in mammogram in october so i am now back to yearly,thank god,andib She spent months, getting more surgery, chemotherapy and radiation and 8 months later and she was cleared for work. Ct scans can help doctors: A pet/ct scan is a newer technology used to create images of the body's cells as they work. These scans expose you to more. Doctors use a computed tomography (ct) scan, also called a cat scan, to find cancer. Results from a recent retrospective study conducted by memorial sloan kettering cancer center investigators suggest that pet/ct scanning might offer the most efficient and effective detection of newly diagnosed breast cancer that has spread to the bone. Are they as reliable in detecting breast cancer as a regular mammogram? Benefits of a ct scan. It is common for patients to receive a diagnosis for cancer of unknown primary. This test is most often used to look at the chest and/or belly (abdomen) to see if breast cancer has spread to other organs. Should you get a ct scan to detect possible tumors?
Right now, ct scans aren't routinely used to look for breast cancer, but may be used to look at chest, spine, or abdominal problems, such as a herniated disc or. These scans expose you to more. Cat detects owner's breast cancer before doctors, saving her life call it a sixth sense, a special connection, or just plain mystery. In some instances, cancers may not show on the scan. Do ct scans detect breast cancer?
Imaging Of Triple Negative Breast Cancer Sciencedirect from ars.els-cdn.com If your symptoms or other findings suggest that the cancer could be more advanced, however, you may need to have ct scans of the head, chest, and/or abdomen. Cat detects owner's breast cancer before doctors, saving her life call it a sixth sense, a special connection, or just plain mystery. Mammograms take advantage of the fact. Some researchers are studying the usefulness of pet (positron emission tomography)/ct scans in staging inflammatory breast cancer. If you have a condition like cancer , heart disease , emphysema , or liver masses, ct scans can spot it or help. Are you preparing to have this procedure soon? For breast cancer, these can include computed tomography (ct or cat) scans and positron emission tomography (pet) scans, this technology offers advanced motion management capabilities and may detect lesions as small as 2.8 millimeters, as well as bone scans to find out if the cancer has spread to the bone, identifying abnormal activity and the. This test is most often used to look at the chest and/or belly (abdomen) to see if breast cancer has spread to other organs.
Do ct scans detect breast cancer?
Learn more about it on our blog. Ct scans can be misread or misinterpreted. Learn the stage of your cancer. In some instances, cancers may not show on the scan. The answer is yes, and american health imaging can help. Mammograms take advantage of the fact. Pet scan for breast cancer. A pet/ct scan is a newer technology used to create images of the body's cells as they work. A ct scan can be wrong: If the cancer is thought to have spread, doctors can use imaging tests (tests that create pictures of the inside of the body) to help find out if or where a cancer has spread. I freaking out today though because i have a hard area in my left breast. Benefits of a ct scan. Some researchers are studying the usefulness of pet (positron emission tomography)/ct scans in staging inflammatory breast cancer.
Dan jikalau kami jadikan al quran itu suatu bacaan dalam bahasa selain arab, tentulah mereka mengatakan. Dan jikalau kami jadikan al quran itu suatu bacaan dalam bahasa selain arab, tentulah mereka mengatakan: Read surah fussilat ayat 44 (41:44) with translation. Fussilat ayat 44, yaitu أَأَعْجَمِيٌّ. Tashil bacaan tashil terdapat dalam surah fussilat, qs.41 ayat 44 وَلَوْ . Hukum Bacaan Tajwid Surat Al Baqarah Ayat 164 - Cara from id-static.z-dn.net Included verse by verse commentary with tafsir for those looking to learn about this ayah in detail. Dan jikalau kami jadikan al quran itu suatu bacaan dalam bahasa selain arab, tentulah mereka mengatakan: Apa itu gharib dan apa saja. Dan jikalau kami jadikan al quran itu suatu bacaan dalam bahasa selain arab, tentulah mereka mengatakan. Lengkap dengan bacaan latin dan artinya. Seperti pada ke...
How Long Will My Dog Live With Lymphoma - Cancer In Dogs Wikipedia / Other common sites include the skin, eye, central nervous system, and bone. . Its been a rough day today and still watching her. The statistics and data i memorized in order to become a board certified medical oncologist tells me that without treatment, dogs diagnosed with lymphoma live an average of one month. In 20% of cases, dogs continue to live for up to or even more than 2 years. I guess thats your call, but i let my dog live as long as she could cause she had a chance. This information was relayed to both owners, including expected quality of life, both with and without treatment. Treatment can buy your dog some time, but it rarely cures the disease and unfortunately most dogs with lymphoma will have a relapse at some point. 5,8 however, 10% of dogs will develop a second malignancy. Most dogs will enter into remission after chemotherapy, and for the care, it is only 10%. She now is at her las...
Lung Tumor Symptoms In Dogs - Top 5 Cancers In Dogs Fetch : As the cancer progresses, the most common sign of canine lung cancer is a harsh, nonproductive cough (not coughing up any fluid or mucus). . Symptoms of lung cancer are coughing (which may also produce phlegm or blood), exercise intolerance (lethargy), weight loss or loss of appetite, and other respiratory signs such as trouble breathing or shortness of breath. The most common extranodal lymphoma affects the. Collapsing, weakness, and general lethargy (not greeting people at the door like usual or less interaction) are common signs of cancer, says jake. Lung cancer is a serious diagnosis in our canine companions. This is a malignant neoplasm, with the ability to grow rapidly and metastasize to distant parts of the body, including the organs, lymph nodes, bones, brain and eyes. Lung cancer in dogs and cats compared to people, primary lung cancer is very uncommon in dogs. Adenocarcinoma tumors in dogs start ou...
Komentar
Posting Komentar