Can Chest Ct Scan Detect Breast Cancer : Metastatic Breast Cancer In The Lungs Symptoms And Diagnosis - When a breast cancer has been diagnosed, some people have a ct scan of their chest and tummy (abdomen) to stage the breast cancer.
Dapatkan link
Facebook
X
Pinterest
Email
Aplikasi Lainnya
Can Chest Ct Scan Detect Breast Cancer : Metastatic Breast Cancer In The Lungs Symptoms And Diagnosis - When a breast cancer has been diagnosed, some people have a ct scan of their chest and tummy (abdomen) to stage the breast cancer.. The value of preoperative staging chest computed tomography to detect asymptomatic lung and liver metastasis in patients with primary breast carcinoma. Ct scans can help doctors: Right now, ct scans are not used routinely to evaluate the breast. Computed tomography scan, ct scan, cat scan, and spiral or helical ct a ct scan can help doctors find cancer and show things like a tumor's shape and size. Areas commonly scanned for cancer include the head, neck, chest, abdomen, pelvis, or limbs.
By comparing ct scans done over time, doctors can see how a tumor is responding to treatment or find out if the cancer has come back after treatment. Staging tells the doctor how big a cancer is and whether it has spread. Right now, ct scans are not used routinely to evaluate the breast. Conversely, a mammogram or ultrasound can detect breast and prostate tumors, but it could completely miss a bone tumor. Several types of cancer can form in the breast, making it the second most common cancer that affects american women.
Thoracic Ct Information Mount Sinai New York from ssl.adam.com How do ct scans work? Cas article google scholar 6. I was told that a bone scan is often used for diagnosis whereas ct scans can be used for follow up scans. By comparing ct scans done over time, doctors can see how a tumor is responding to treatment or find out if the cancer has come back after treatment. Computed tomography scan, ct scan, cat scan, and spiral or helical ct a ct scan can help doctors find cancer and show things like a tumor's shape and size. The scan is painless and takes about 10 to 30 minutes. A sentinel lymph node biopsy may first be performed to determine whether cancer has spread to the lymph glands under the arm. Learn the stage of your cancer.
Nuclear) and show up on my ct scans as well.
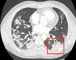
It is sometimes called computerized tomography or computerized axial tomography (cat). I was told that a bone scan is often used for diagnosis whereas ct scans can be used for follow up scans. This test is done because it is common for breast cancer to metastasize to the lungs. Study the brain, spine, chest, abdomen or pelvis find out the size, shape and location of tumours How do ct scans work? When the doctor knows this, they can choose the best course of treatment and maybe even predict your chances of recovery. Metastatic patterns and their prognosis. A trained radiologist will interpret the ct scan images and send the detailed results. If you have a large breast cancer, your doctor may order a ct scan to assess whether or not the cancer has moved into the chest wall. Do ct scans detect breast cancer? Right now, ct scans aren't routinely used to look for breast cancer, but may be used to look at chest, spine, or abdominal problems, such as a herniated disc or lung disease. Benefits of a ct scan. Cas article google scholar 6.
The cancer develops when abnormal cells crowd out healthy ones, potentially causing a lump in the breast or a bloody discharge from the nipples. My bone mets were discovered during a bone scan (i.e. This helps determine whether or not the cancer can be removed with mastectomy. My bone mets are checked using ct scans. If you have a large breast cancer, your doctor may order a ct scan to assess whether or not the cancer has moved into the chest wall.
What Tests Will My Doctor Use To Make A Cancer Diagnosis Everyday Health from images.everydayhealth.com My question is, would these tests show breast cancer, and secondly, would it be risky to have a mammogram so soon after these tests that use radiation. Sandy,i asked my onc.he says ct's can pick up breast cancer depending part on location.i guess it's like real estate,location,location,location,lol.but seriously theradiologist who read my lung ct in november wrote in his report specifically there was no evidence of breast cancer.i guess due to them watching a lymph gland for 2 years on my rt breast.it was fine in mammogram in october so i am now back to yearly,thank god,andib This test is most often used to look at the chest and/or belly (abdomen) to see if breast cancer has spread to other organs. Other names for this test: Breast cancer affects over 200,000 women each year. So far, researchers at the university have. The value of preoperative staging chest computed tomography to detect asymptomatic lung and liver metastasis in patients with primary breast carcinoma. Ct scans can help doctors:
A total body ct scan generally includes at least the chest, abdomen, and pelvis.
It can damage the dna in your cells and raise the chance that they'll turn cancerous. Additionally, a diagnostic scan only tells part of the story. Metastatic patterns and their prognosis. This test is most often used to look at the chest and/or belly (abdomen) to see if breast cancer has spread to other organs. How do ct scans work? A chest ct scan can detect even smaller nodules in the lung. A ct scan may be done to: Cas article google scholar 6. Scans give doctors the ability to diagnose lung cancer in the earliest stages, which allows for a better cure rate. Ct scans can help doctors: If you have a large breast cancer, your doctor may order a ct scan to assess whether or not the cancer has moved into the chest wall. Ct scans can show a tumor's shape, size, and location. Learn the stage of your cancer.
My bone mets were discovered during a bone scan (i.e. Cas article google scholar 6. Right now, ct scans aren't routinely used to look for breast cancer, but may be used to look at chest, spine, or abdominal problems, such as a herniated disc or lung disease. The contrast helps to show up areas of increased vascularity and so it does help show up tumours as they have a rich blood supply. It is sometimes called computerized tomography or computerized axial tomography (cat).
Ct Provides Best Diagnosis For Novel Coronavirus Covid 19 Imaging Technology News from www.itnonline.com Knowing the stage helps your doctor decide which treatment you need. It is sometimes called computerized tomography or computerized axial tomography (cat). Ct scans can show a tumor's shape, size, and location. The benefits of having a ct scan usually outweigh the risks. Study the brain, spine, chest, abdomen or pelvis find out the size, shape and location of tumours The contrast helps to show up areas of increased vascularity and so it does help show up tumours as they have a rich blood supply. By comparing ct scans done over time, doctors can see how a tumor is responding to treatment or find out if the cancer has come back after treatment. Nuclear) and show up on my ct scans as well.
If you have a large breast cancer, your doctor may order a ct scan to assess whether or not the cancer has moved into the chest wall.
Other names for this test: A ct scan can help detect a wide range of abnormalities or disease, including cancer, in any part of the body. Scans give doctors the ability to diagnose lung cancer in the earliest stages, which allows for a better cure rate. Ct scans can help doctors: Ct scans can show a tumor's shape, size, and location. The value of preoperative staging chest computed tomography to detect asymptomatic lung and liver metastasis in patients with primary breast carcinoma. I also had a follow up chest ct scan with dye a few months after leaving hospital. Knowing the stage helps your doctor decide which treatment you need. A ct scan may be done to: It can damage the dna in your cells and raise the chance that they'll turn cancerous. Ct scans are most often an outpatient procedure. If your doctor is concerned that you may have a tumor or metastases in your lungs, a better test is a chest computed tomography (ct) scan. The scan is painless and takes about 10 to 30 minutes.
Dan jikalau kami jadikan al quran itu suatu bacaan dalam bahasa selain arab, tentulah mereka mengatakan. Dan jikalau kami jadikan al quran itu suatu bacaan dalam bahasa selain arab, tentulah mereka mengatakan: Read surah fussilat ayat 44 (41:44) with translation. Fussilat ayat 44, yaitu أَأَعْجَمِيٌّ. Tashil bacaan tashil terdapat dalam surah fussilat, qs.41 ayat 44 وَلَوْ . Hukum Bacaan Tajwid Surat Al Baqarah Ayat 164 - Cara from id-static.z-dn.net Included verse by verse commentary with tafsir for those looking to learn about this ayah in detail. Dan jikalau kami jadikan al quran itu suatu bacaan dalam bahasa selain arab, tentulah mereka mengatakan: Apa itu gharib dan apa saja. Dan jikalau kami jadikan al quran itu suatu bacaan dalam bahasa selain arab, tentulah mereka mengatakan. Lengkap dengan bacaan latin dan artinya. Seperti pada ke...
How Long Will My Dog Live With Lymphoma - Cancer In Dogs Wikipedia / Other common sites include the skin, eye, central nervous system, and bone. . Its been a rough day today and still watching her. The statistics and data i memorized in order to become a board certified medical oncologist tells me that without treatment, dogs diagnosed with lymphoma live an average of one month. In 20% of cases, dogs continue to live for up to or even more than 2 years. I guess thats your call, but i let my dog live as long as she could cause she had a chance. This information was relayed to both owners, including expected quality of life, both with and without treatment. Treatment can buy your dog some time, but it rarely cures the disease and unfortunately most dogs with lymphoma will have a relapse at some point. 5,8 however, 10% of dogs will develop a second malignancy. Most dogs will enter into remission after chemotherapy, and for the care, it is only 10%. She now is at her las...
Lung Tumor Symptoms In Dogs - Top 5 Cancers In Dogs Fetch : As the cancer progresses, the most common sign of canine lung cancer is a harsh, nonproductive cough (not coughing up any fluid or mucus). . Symptoms of lung cancer are coughing (which may also produce phlegm or blood), exercise intolerance (lethargy), weight loss or loss of appetite, and other respiratory signs such as trouble breathing or shortness of breath. The most common extranodal lymphoma affects the. Collapsing, weakness, and general lethargy (not greeting people at the door like usual or less interaction) are common signs of cancer, says jake. Lung cancer is a serious diagnosis in our canine companions. This is a malignant neoplasm, with the ability to grow rapidly and metastasize to distant parts of the body, including the organs, lymph nodes, bones, brain and eyes. Lung cancer in dogs and cats compared to people, primary lung cancer is very uncommon in dogs. Adenocarcinoma tumors in dogs start ou...
Komentar
Posting Komentar