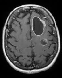
Signs Of Metastatic Breast Cancer In Brain / Metastatic Breast Cancer Warning Signs To Watch For - The most common types of cancer that cause metastatic brain tumors are cancers of the lung, breast, skin ( melanoma ), colon, kidney and thyroid gland.
Dapatkan link
Facebook
X
Pinterest
Email
Aplikasi Lainnya
Signs Of Metastatic Breast Cancer In Brain / Metastatic Breast Cancer Warning Signs To Watch For - The most common types of cancer that cause metastatic brain tumors are cancers of the lung, breast, skin ( melanoma ), colon, kidney and thyroid gland.. Symptoms of brain metastases symptoms of brain metastases depend on the location, size and number of growths in the brain, or the amount of swelling. Jaundice or swelling in the belly, when cancer has spread to the liver. Though symptoms vary from patient to patient, common brain metastasis symptoms include: Pain and fractures, when cancer has spread to the bone. According to the national breast cancer foundation, the symptoms of metastatic breast cancer vary as far as type and severity depending on the site of metastasis (spreading).
Stroke or brain attack, in which blood supply to the brain is cut off; They are typically worse in the morning and lessen as the day goes on. Primary brain cancer occurs when a tumor develops in the brain while metastatic, however, refers to cancer that originated elsewhere in the body and then traveled to the brain. On the following pages you can read about: Though symptoms vary from patient to patient, common brain metastasis symptoms include:
Metastatic Breast Cancer Warning Signs To Watch For from images.ctfassets.net Nausea (feeling sick) or vomiting (being sick) can be caused by secondary breast cancer in the brain or elsewhere in the body, its treatment or emotional side effects such as anxiety. Headaches, sometimes with nausea and vomiting. Weakness of one side of the body, numbness, or tingling in the extremities: Stereotactic radiosurgery for brain metastasis. Some common signs of metastatic cancer include: Vomiting due to brain metastases tends to become worse and more frequent over time. Hemiparesis, weakness or paralysis of one side of the body, was the third most common neurological symptom of brain metastases in one study. The most common types of cancer that cause metastatic brain tumors are cancers of the lung, breast, skin ( melanoma ), colon, kidney and thyroid gland.
Signs and symptoms caused by brain metastases can vary based on the location, size and rate of growth of the metastatic tumors.
Metastatic breast cancer happens when the cancer spreads beyond the breast and lymph nodes, usually to the bones, liver, lungs, or brain. Headaches may be caused by a tumour pressing on the brain, swelling caused by a fluid buildup around the brain (called edema), bleeding or hydrocephalus. The symptoms of metastatic breast cancer can be very different depending on the location of the cancer: 9 warning signs of brain cancer. Primary brain cancer occurs when a tumor develops in the brain while metastatic, however, refers to cancer that originated elsewhere in the body and then traveled to the brain. In most cases, you also would continue with systemic treatments such as hormonal therapy, chemotherapy, and/or targeted therapies. Symptoms of brain metastases symptoms of brain metastases depend on the location, size and number of growths in the brain, or the amount of swelling. Bone, lung, brain, and liver. Symptoms can include sudden weakness or numbness on one side of the body, headache, trouble speaking, vision changes, dizziness and/or loss of balance Stroke or brain attack, in which blood supply to the brain is cut off; Vomiting due to brain metastases tends to become worse and more frequent over time. These are caused by a tumor creating pressure inside the skull, squeezing nearby brain tissue. Constant back, bone, or joint pain
These are the symptoms to watch for according to where mbc. Symptoms of breast cancer that has spread to the brain can include headache, changes in speech or vision, memory problems, and others. Other signs and symptoms of brain metastases include: Pain and fractures, when cancer has spread to the bone. Symptoms can include sudden weakness or numbness on one side of the body, headache, trouble speaking, vision changes, dizziness and/or loss of balance
Metastatic And Triple Negative Breast Cancer Challenges And Treatment Options Springerlink from media.springernature.com Signs and symptoms caused by brain metastases can vary based on the location, size and rate of growth of the metastatic tumors. it is common for people with metastatic breast cancer to develop metastases at multiple sites. An estimated 150,000 to 200,000 people are diagnosed with a brain metastasis each year, compared to about 17,000 diagnoses for primary. Not everyone with a brain metastasis will have symptoms but most do. Brain metastases are also much more common. Some common signs of metastatic cancer include: Bone, back, neck, or joint pain. It's important for your doctor to try to find out the cause so that it can be managed effectively.
Symptoms can include sudden weakness or numbness on one side of the body, headache, trouble speaking, vision changes, dizziness and/or loss of balance
In other cases, the body is able to. Persistent, progressively worsening headaches or pressure to the head There are two types of brain cancer known as primary and metastatic. The symptoms caused by a brain metastasis depend on the tumor's location. The women with brain metastasis, who had not yet developed symptoms at the time the metastases to the brain were discovered survived, on average, 10.4 months. Primary brain cancer occurs when a tumor develops in the brain while metastatic, however, refers to cancer that originated elsewhere in the body and then traveled to the brain. Metastases can push on or cause swelling in specific areas causing specific symptoms. Local therapies for brain metastasis include surgery and different types of radiation therapy. According to the national breast cancer foundation, the symptoms of metastatic breast cancer vary as far as type and severity depending on the site of metastasis (spreading). Symptoms can include sudden weakness or numbness on one side of the body, headache, trouble speaking, vision changes, dizziness and/or loss of balance These are the symptoms to watch for according to where mbc. Learn the signs and symptoms of metastasis, how you can make. The most common symptom of brain metastases is a headache.
The most common breast cancer metastasis sites are the bones, the lungs, the brain, and the liver. Headaches may be caused by a tumour pressing on the brain, swelling caused by a fluid buildup around the brain (called edema), bleeding or hydrocephalus. Brain surgeon and researcher rahul jandial of city of hope cancer center near los angeles explains common symptoms that could suggest brain metastasis in cancer survivors. Learn the signs and symptoms of metastasis, how you can make. They are distinct from primary brain tumors, which start in the brain.
Two Cases Of Possible Remission In Metastatic Triple Negative Breast Cancer Mdedge Hematology And Oncology from cdn.mdedge.com If your breast cancer spreads to other parts of your body, doctors will call it metastatic. (metastasize means to spread.) it tends to go to the bones, lungs, liver, and brain.you'll get. The women with brain metastasis, who had not yet developed symptoms at the time the metastases to the brain were discovered survived, on average, 10.4 months. Though symptoms vary from patient to patient, common brain metastasis symptoms include: On the following pages you can read about: Brain metastases are growths that spread to the brain from a cancer in another part of the body. Not everyone with a brain metastasis will have symptoms but most do. Headaches, sometimes with nausea and vomiting. These are often the first symptoms of a brain metastasis.
Headaches, sometimes with nausea and vomiting.
Symptoms of brain metastases symptoms of brain metastases depend on the location, size and number of growths in the brain, or the amount of swelling. Other signs and symptoms of brain metastases include: Nausea (feeling sick) or vomiting (being sick) can be caused by secondary breast cancer in the brain or elsewhere in the body, its treatment or emotional side effects such as anxiety. Brain metastases are growths that spread to the brain from a cancer in another part of the body. Or, the cause of a symptom may be a different medical condition that is not cancer. However, for about 17% of women in this group, the brain is the only site of metastasis. The symptoms of metastatic breast cancer can be very different depending on the location of the cancer: They are distinct from primary brain tumors, which start in the brain. Signs and symptoms of brain metastases include: Headache, sometimes with vomiting or nausea mental changes, such as increasing memory problems An estimated 150,000 to 200,000 people are diagnosed with a brain metastasis each year, compared to about 17,000 diagnoses for primary. Persistent, progressively worsening headaches or pressure to the head Primary brain cancer occurs when a tumor develops in the brain while metastatic, however, refers to cancer that originated elsewhere in the body and then traveled to the brain.
Dan jikalau kami jadikan al quran itu suatu bacaan dalam bahasa selain arab, tentulah mereka mengatakan. Dan jikalau kami jadikan al quran itu suatu bacaan dalam bahasa selain arab, tentulah mereka mengatakan: Read surah fussilat ayat 44 (41:44) with translation. Fussilat ayat 44, yaitu أَأَعْجَمِيٌّ. Tashil bacaan tashil terdapat dalam surah fussilat, qs.41 ayat 44 وَلَوْ . Hukum Bacaan Tajwid Surat Al Baqarah Ayat 164 - Cara from id-static.z-dn.net Included verse by verse commentary with tafsir for those looking to learn about this ayah in detail. Dan jikalau kami jadikan al quran itu suatu bacaan dalam bahasa selain arab, tentulah mereka mengatakan: Apa itu gharib dan apa saja. Dan jikalau kami jadikan al quran itu suatu bacaan dalam bahasa selain arab, tentulah mereka mengatakan. Lengkap dengan bacaan latin dan artinya. Seperti pada ke...
How Long Will My Dog Live With Lymphoma - Cancer In Dogs Wikipedia / Other common sites include the skin, eye, central nervous system, and bone. . Its been a rough day today and still watching her. The statistics and data i memorized in order to become a board certified medical oncologist tells me that without treatment, dogs diagnosed with lymphoma live an average of one month. In 20% of cases, dogs continue to live for up to or even more than 2 years. I guess thats your call, but i let my dog live as long as she could cause she had a chance. This information was relayed to both owners, including expected quality of life, both with and without treatment. Treatment can buy your dog some time, but it rarely cures the disease and unfortunately most dogs with lymphoma will have a relapse at some point. 5,8 however, 10% of dogs will develop a second malignancy. Most dogs will enter into remission after chemotherapy, and for the care, it is only 10%. She now is at her las...
Lung Tumor Symptoms In Dogs - Top 5 Cancers In Dogs Fetch : As the cancer progresses, the most common sign of canine lung cancer is a harsh, nonproductive cough (not coughing up any fluid or mucus). . Symptoms of lung cancer are coughing (which may also produce phlegm or blood), exercise intolerance (lethargy), weight loss or loss of appetite, and other respiratory signs such as trouble breathing or shortness of breath. The most common extranodal lymphoma affects the. Collapsing, weakness, and general lethargy (not greeting people at the door like usual or less interaction) are common signs of cancer, says jake. Lung cancer is a serious diagnosis in our canine companions. This is a malignant neoplasm, with the ability to grow rapidly and metastasize to distant parts of the body, including the organs, lymph nodes, bones, brain and eyes. Lung cancer in dogs and cats compared to people, primary lung cancer is very uncommon in dogs. Adenocarcinoma tumors in dogs start ou...
Komentar
Posting Komentar